Table of contents
Table of contents
聚合酶鏈反應,或稱之為PCR,在各種生化和醫學實驗室均已應用近30年。然而,PCR最突出的問題是因非靶DNA的擴增所導致各種問題,尤其是假陽性結果最為嚴重。幸好多年來PCR技術不斷進步,發展出一種新型PCR技術——多重降落PCR(MT-PCR)。MT-PCR結合了多重PCR和降落PCR的特徵。在一項PCR實驗中,採用了多種引物檢驗多重DNA靶標。每個週期的退火溫度從原設定溫度降低0.5~1°C,直到達到最佳退火溫度。
MT-PCR,出現在2016年*的一項新研究中(1),發展該技術旨在檢測抗性基因。MT-PCR成功地識別出數個不同的靶細菌DNA,還阻止非靶DNA擴增反應,從而阻止假陽性結果。
常規PCR試驗的目標是單個DNA範本,特定的引物會在20個反應週期內將範本擴增。在一個反應中採用多個引物和靶DNA,可節省大量時間,還能同時在一個PCR中擴增多個靶DNA*(2)。
但是,多重PCR有一個嚴重的缺點,很難在引物和DNA混合物中避免非靶DNA交叉擴增。因此,進行多重PCR前,我們必須提前選擇特定的靶DNA。只選擇不同DNA配對長度的靶DNA進行多重PCR。
雖然,多重PCR節省時間,但仍無法避免非靶DNA交叉擴增導致的錯誤。因此,我們需要MT-PCR。MT-PCR和多重PCR的主要差別在於退火溫度。MT-PCR的退火溫度隨每個週期降低。設定的第一個週期(起始)退火溫度比預期溫度高 3~5°C 。一般而言,退火溫度越高,引物和範本匹配越好。緩慢降低退火溫度讓PCR更有效。
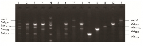
本項MT-PCR研究的研究者在血液培養瓶和加標血液瓶中成功地識別了5個靶DNA,mecA, Blashv, Blactx-M, BlaTem和Blaoxa,參見圖1。同時,沒有交叉擴增和假陽性結果。(圖2),試驗中,在熱迴圈儀上設定的起始退火溫度為66℃,30秒。研究者將反應繼續進行,但是每個週期退火溫度降低0.5℃。溫度控制的精確性和穩定性非常重要。Blue-Ray Biotech生產的TurboCycler 2 聚合酶連鎖反應儀非常穩定,可精確而穩定地控制溫度。該儀器的升降溫速度快,可迅速設定需要的特定溫度。還有一個樣品模式,將樣品和受試塊的溫差控制在最小絕對值。TurboCycler 2是研究者進行MT-PCR的理想選擇。

圖1. 來自12個加標血液培養瓶的樣品的MT-PCR結果。第9~第13是靶基因的對照組。第1~第8明確顯示靶基因在MT-PCR陣列中表達,且無其他交叉擴增。

圖2. 來自33個陽性血液培養瓶的樣品在4h MT-PCR陣列的結果。明確顯示靶基因,且無非靶基因表達。
在本項研究中,靶細菌DNA含有多重抗生素耐藥性基因。被這些細菌感染的患者要及時接受正確的抗生素治療,否則敗血症會導致嚴重的後果。該項研究工作證明,MT-PCR可迅速鑒別有關細菌。
MT-PCR不但可以迅速識別樣品中多個靶細菌的基因,而且,還可以避免非靶DNA交叉擴增。與以往相比較,假陽性結果明顯更少,這對臨床研究和診斷具有重大意義。我們希望不久的將來,MT-PCR有更多的應用。為取得最佳PCR結果,選擇一個優秀的熱迴圈儀也是非常重要的。